Hello There
Sign In to Brilio
Welcome to our Community Page, a place where you can create and share your content with rest of the world
1
2
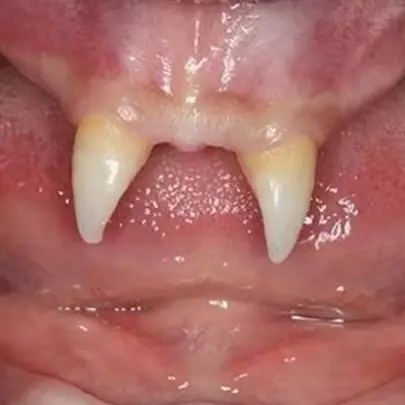
Gigi
8 Kasus aneh seputar gigi, ada yang tumbuh di mata
3
Bintang Sepak Bola
Egy Maulana ternyata dipantau Indra Sjafri sejak kecil, ini buktinya
4
Tere Liye
Tere Liye ingin karyanya tak lagi dijual di toko buku, ini alasannya
5
Polisi
Aksi heroik polisi bantu warga lokal seberangi sungai ini bikin haru
6
Tukang Cukur
9 Karya cukur rambut ini nggak biasa, ada yang mirip wajah Kim Jong-un
7
Film
10 Judul film Indonesia ini dijamin bikin kamu mikir keras
8
Laudya Cynthia Bella
10 Bukti Engku Emran calon suami Laudya Cynthia Bella ini pria idaman
9
Artis Cantik
7 Artis ini penampilan sehari-harinya berkebalikan dengan saat di TV
10
Jalan Raya
Ini nama baru Ring Road Yogyakarta, biar nggak bikin bingung
11
Gaya Selebriti
10 Gaya publik figur saat liburan ke Borobudur, siapa paling kece?
12
Meme Lucu
Begini jawaban ngocol 7 tokoh meme ketika ditanya kelebihan mereka
13
Outfit Of The Day
10 Inspirasi gaya athleisure, tren outfit yang unik & fashionable
14
Fenomena Media Sosial
Anak dan menantunya dinyinyiri, begini respons menohok dari ibu Raisa
15
Pencurian
Aksi maling ini bikin geregetan, gondol monumen motor bekas kecelakaan
16
Ngakak
10 Cuitan #HamishRaisaSatuAtap ini lucunya bikin susah nahan ketawa
17
10 Senjata mematikan ini bukti Kingsman lebih keren dari James Bond
18
Artis
Raisa dan Hamish unggah video pertama usai menikah, isinya bikin heboh
19
Artis Bollywood
Lama vakum, ini 7 aktris Bollywood yang kembali akting & filmnya laris
20
Rumah Nana Mirdad habis terbakar, begini kronologi lengkapnya
21
Musisi Indonesia
10 Aksi panggung adik Vidi Aldiano, musisi jazz yang sedang naik daun